Logo Logo Dark
  • Trang chủ
  • Tin hot
  • Nhìn thẳng - Nói thật
  • Tin Dầu khí
  • Hồ sơ vụ án
  • Quốc tế
  • Giải trí
  • Sống khỏe
  • Tài chính - Ngân hàng
  • Bầu trời mới
  • Thể thao
  • Trang chủ
  • Tin hot
  • Nhìn thẳng - Nói thật
  • Tin Dầu khí
  • Hồ sơ vụ án
  • Quốc tế
  • Giải trí
  • Sống khỏe
  • Tài chính - Ngân hàng
  • Bầu trời mới
  • Thể thao
Điều tra vụ người đàn ông phá hoại tài sản... Cháy lớn công ty dệt may ở Đồng Nai, cột... Tàu chở dầu đầu tiên của Qatar vượt eo biển... Quốc gia đồng minh bất ngờ từ chối cho máy... Học sinh TP.HCM 'chạy nước rút' tranh suất vào lớp... Mỹ trừng phạt hàng loạt công ty Trung Quốc, căng... Tuyển Việt Nam cùng bảng với Hàn Quốc, UAE tại... VN-Index vượt đỉnh, nhà đầu tư nên hành động thế... Vì sao Ngày của Mẹ được tổ chức vào Chủ... Xe đầu kéo va chạm xe máy ở Lào Cai,... ‘Nở rộ’ xét nghiệm tại nhà, chuyên gia khuyến cáo... Điều tra vụ người đàn ông phá hoại tài sản... Cháy lớn công ty dệt may ở Đồng Nai, cột... Tàu chở dầu đầu tiên của Qatar vượt eo biển... Quốc gia đồng minh bất ngờ từ chối cho máy... Học sinh TP.HCM 'chạy nước rút' tranh suất vào lớp... Mỹ trừng phạt hàng loạt công ty Trung Quốc, căng... Tuyển Việt Nam cùng bảng với Hàn Quốc, UAE tại... VN-Index vượt đỉnh, nhà đầu tư nên hành động thế... Vì sao Ngày của Mẹ được tổ chức vào Chủ... Xe đầu kéo va chạm xe máy ở Lào Cai,... ‘Nở rộ’ xét nghiệm tại nhà, chuyên gia khuyến cáo...
Tin mới
Post cover 182867

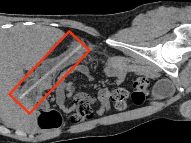
Hy hữu vụ cứu bệnh nhân nuốt chiếc đũa dài 18cm vào bụng, gây thủng tá tràng

Nam thanh niên vô tình nuốt chiếc đũa cách đây 3 tháng nhưng chủ quan không đi khám. Cơn đau ngày càng nghiêm trọng nên anh đã được người nhà đưa đến bệnh viện để cấp cứu...
05/08/2024 20:58:10
Bài đọc nhiều
Ảnh bài viết
Học sinh TP.HCM 'chạy nước rút' tranh suất vào lớp 10
Ảnh minh họa
‘Nở rộ’ xét nghiệm tại nhà, chuyên gia khuyến cáo gì?
Ảnh minh họa
Bộ NN&PTNT nói về trách nhiệm xử lý 10 triệu tấn rác thải
Ảnh minh họa
TP.HCM: Hàng loạt hướng dẫn viên xài bằng đại học giả
Ảnh minh họa
GẠC MA KHẮC CỐT GHI TÂM (*): Ký ức đau thương
Ảnh minh họa
Tấp nập thi công cầu vượt sông Hồng gần 16.000 tỷ đồng
Logo

CÔNG TY CỔ PHẦN TRUYỀN THÔNG THỜI MỚI

Giám đốc - Chịu trách nhiệm nội dung: NGUYỄN NHƯ PHONG
Phó Giám đốc phụ trách Truyền thông, Đào tạo: T.S DOÃN THỊ THUẬN
Giấy phép số: 3227/GP-TTĐT do Sở Thông tin và Truyền thông TP Hà Nội cấp ngày 9 tháng 8 năm 2017
Địa chỉ: 167 phố Trung Kính, phường Yên Hòa, thành phố Hà Nội.
Hotline: 090.419.8899
Email: lienhe@thoimoi.vn