Thế giới 24h
13/03/2018 21:00Nhập viện vì đau đầu, kinh ngạc thấy trong não có khoảng trống lớn
|
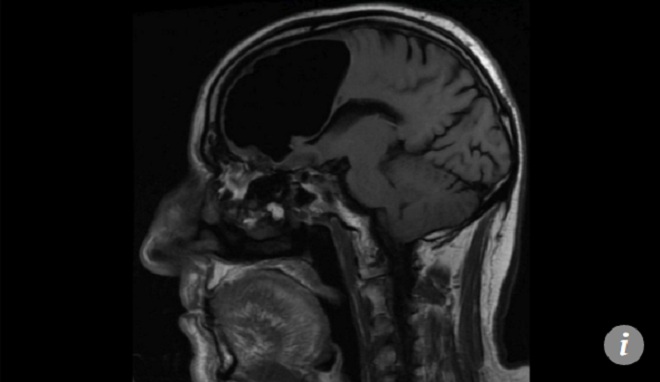
Khoảng trống khổng lồ bên trong não bệnh nhân.
Theo tờ Bưu điện Hoa nam Buổi sáng (SCMP), người đàn ông Ailen nói mình cảm thấy đau đầu, thường xuyên gục ngã trong những tuần qua. Trong vòng 3 ngày trước khi nhập viện, ông cảm thấy tay và chân trái yếu đi rõ rệt.
Người đàn ông chưa từng gặp vấn đề sức khỏe trước đó. Ông cũng không hút thuốc, ít khi uống rượu và kết quả xét nghiệm máu không cho thấy điều gì bất thường.
“Bệnh nhân hoàn toàn bình thường, không có vẻ gì là gặp khó khăn trong việc nhận biết sự vật xung quanh hay trò chuyện”, tạp chí y khoa BMJ viết.
Nói cách khác, các bác sĩ không nhận thấy điều gì bất thường, cho đến khi đưa bệnh nhân đi chụp CT và MRI. Đó là lúc các bác sĩ cảm thấy kinh ngạc khi trong đầu bệnh nhân có một khoảng trống lớn, dường như là do bóng khí hình thành. Khu vực này lẽ ra là nơi chứa thùy não phải của bệnh nhân.
Finlay Brown, bác sĩ làm việc tại bệnh viện Causway ở Coleraine, Bắc Ailen nói: “Chúng tôi đều bối rối với hình ảnh mà mình nhìn thấy”.
|
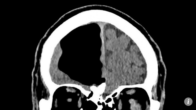
Khoảng trồng thực chất là bong bóng khí chèn ép thùy não phải.
Bệnh nhân chưa từng trải qua bất kỳ một ca phẫu thuật não nào. Khoảng trống lớn trong đầu bệnh nhân dài tới 8,9cm, chứa toàn không khí.
Bệnh nhân dường như bị một khối u trong não, tạo thành van một chiều hấp thụ không khí từ bên ngoài. Quá trình này diễn ra tới hàng năm, mỗi khi ho hay hắt hơi, bệnh nhân vô tình đưa một lượng không khí nhất định vào phần não.
Bác sĩ Brown nói cách duy nhất là phải phẫu thuật, hút hết không khí ra ngoài và vô hiệu hóa khối u tạo thành van một chiều đưa không khí vào bên trong.
Tuy vậy, bệnh nhân 84 tuổi từ chối phẫu thuật vì tuổi cao và gặp phải các vấn đề sức khỏe khác. Các bác sĩ lo ngại việc để không khí lọt vào não có thể vô tình đưa vi khuẩn hay virus xâm nhập.
Bệnh nhân hiện đã được cho về nhà để theo dõi thêm.
| Nhắm mắt khi làm việc giúp trí não của bạn nhạy bén hơn
Hãy nhắm nghiền mắt khi thực hiện những việc quen thuộc như tắm gội, phân loại và xếp quần áo, bộ não của bạn sẽ ... |
| 7 cách khiến não bộ hạnh phúc hơn
Tất nhiên, mỉm cười, ngủ trưa, chăm sóc con mèo, hít thở không khí trong lành, tiếp xúc nhiều hơn với ánh sáng mặt trời ... |
| Người đã chết vẫn nghe được người xung quanh nói gì?
Nghiên cứu mới của các nhà khoa học hé lộ rằng não bộ của con người vẫn hoạt động khi cơ thể mới chết và ... |
- Được coi là một trong tứ đại mỹ nhân nhưng Điêu Thuyền không tồn tại? (23/04/26 21:13)
- Đời thật khác hẳn trên phim 'Tây du ký' của nhân vật Đường Tăng trong lịch sử (23/04/26 20:43)
- Điều kỳ lạ về tuổi thọ của các vua Hùng, có người sống 420 năm (23/04/26 20:21)
- Vì sao người Nhật Bản ăn trứng gà sống mà không lo hại sức khỏe? (23/04/26 20:02)
- Hai phim tài liệu đặc biệt 'Trỗi dậy' và 'Hành trình vì hoà bình' chiếu dịp 30/4 (23/04/26 19:41)
- Vì sao Australia ở châu Đại dương vẫn được đấu U17 Việt Nam ở giải Đông Nam Á? (23/04/26 19:22)
- Chi tiết mức hỗ trợ dự kiến khi Hà Nội thí điểm cấm xe xăng ở Vành đai 1 (23/04/26 19:05)
- Kiến nghị Bộ GD&ĐT làm rõ căn cứ chọn bộ sách giáo khoa thống nhất toàn quốc (23/04/26 18:47)
- Sở Văn hóa và Thể thao TP.HCM vào cuộc vụ B Ray hát rap phản cảm trên livestream (23/04/26 18:29)
- Cảnh giác với bẫy “việc nhẹ, lương cao” (23/04/26 18:03)