8 dấu hiệu ung thư đại tràng tuyệt đối không nên bỏ qua
Sống khỏe - 15/10/2025 16:34
Ung thư đại tràng là một trong những căn bệnh nguy hiểm và thường được phát hiện ở giai đoạn muộn, dưới đây là 8...
Đau bụng quanh rốn, đi khám phát hiện mắc hai loại ung thư
Sống khỏe - 14/10/2025 20:23
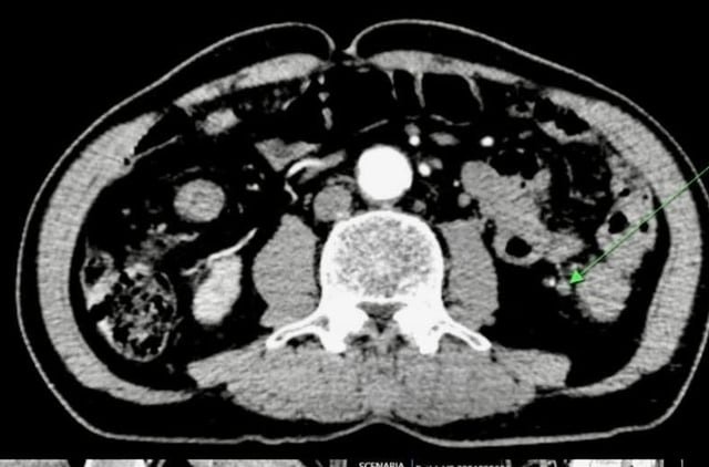
Nam bệnh nhân 62 tuổi ở Quảng Ninh được phát hiện mắc cùng lúc ung thư thực quản và đại tràng sigma, may mắn điều...
Sụt cân nhanh trong 3 tháng, người đàn ông cùng lúc mắc hai loại ung thư
Sống khỏe - 25/07/2025 15:30
Người đàn ông ở Ninh Bình vừa được Bệnh viện Việt Đức phẫu thuật thành công sau khi phát hiện mắc ung thư đại tràng...
Đau bụng tưởng ngộ độc thực phẩm, đến viện khám phát hiện bị ung thư
Sống khỏe - 14/05/2025 14:15
Người đàn ông đau bụng, nghi ngộ độc thực phẩm, đến viện khám bác sĩ chẩn đoán ung thư đại tràng giai đoạn muộn.
8 thực phẩm phòng chống ung thư đại tràng hiệu quả
Sống khỏe - 19/09/2019 10:34
Chuối, hạt thì là, sữa chua, ổi hay các loại ngũ cốc nguyên hạt... là những thực phẩm giúp ngăn ngừa ung thư đại tràng...
Thực phẩm "vàng" chống ung thư rất dễ tìm và rẻ tiền ở Việt Nam
Khỏe - 07/10/2018 10:31
Trước khi ung thư tìm đến bạn, hãy bổ sung ngay vào thực đơn hàng ngày những thực phẩm có sức mạnh chống ung thư...
8 người trong một nhà cùng bị ung thư đại tràng
Chuyện đời - Chuyện người - 10/04/2018 08:21
Một gia đình ở Hải Dương có mẹ và 7 người con cùng bị ung thư đại tràng, trong đó hai người đã qua đời.

Tiếp tục hỗ trợ 400 tỷ đồng cho 4 tỉnh miền Bắc khắc phục hậu quả mưa bão
Thủ tướng vừa quyết định cấp thêm 400 tỷ đồng từ nguồn dự phòng ngân sách Trung ương để hỗ trợ khẩn cấp 4 tỉnh...

Lũ trên sông ở Bắc Ninh đang lên, lũ sông Cầu tại Thái Nguyên vẫn vượt lịch sử
Trong khi mực nước nhiều sông đang hạ dần, các sông ở Bắc Ninh lại đang lên và sắp đạt đỉnh, lũ trên sông Cầu...

Lũ trên sông Cầu vượt đỉnh lịch sử hơn 1m, Thái Nguyên ngập đến cuối tuần
ũ trên sông Cầu đang lên, mực nước tại trạm Gia Bảy lúc 3h ngày 8/10 vượt đỉnh lịch sử năm 2024 trên 1m, ngập...

Đường phố ngập sâu, người Hà Nội bì bõm lội nước đi làm rồi bất lực quay về
Mưa lớn kéo dài từ đêm qua đến sáng nay làm nhiều tuyến phố Hà Nội ngập sâu, người dân vật vã đi làm rồi...

Mưa lớn cả đêm, người Hà Nội lại vật vã dắt xe qua biển nước
Mưa lớn từ đêm qua khiến nhiều tuyến đường Hà Nội sáng 7/10 ngập sâu gần nửa mét, người dân vất vả dắt xe qua...