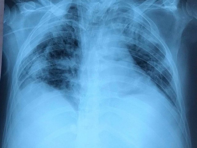
Bệnh nhân phi công tập tự thở bằng phổi
Xã hội - 21/05/2020 17:51
Phổi "bệnh nhân 91" cải thiện khá hơn, bác sĩ Bệnh viện Bệnh Nhiệt đới TP HCM đang giảm dần các thông số...

Đường phố ngập sâu, người Hà Nội bì bõm lội nước đi làm rồi bất lực quay về
Mưa lớn kéo dài từ đêm qua đến sáng nay làm nhiều tuyến phố Hà Nội ngập sâu, người dân vật vã đi làm rồi...

Mưa lớn cả đêm, người Hà Nội lại vật vã dắt xe qua biển nước
Mưa lớn từ đêm qua khiến nhiều tuyến đường Hà Nội sáng 7/10 ngập sâu gần nửa mét, người dân vất vả dắt xe qua...

Danh sách các tuyến đường ở Hà Nội có nguy cơ ngập lụt trong sáng nay
Sau trận mưa lớn kèm sấm sét, nhiều điểm ở nội thành Hà Nội được cảnh báo có nguy cơ ngập úng.

Học sinh Hà Nội nghỉ học ngày 6-10 để ứng phó bão số 11
Học sinh mầm non, phổ thông Hà Nội sẽ nghỉ ngày 6-10 và chuyển sang học trực tuyến nhằm bảo đảm an toàn do ảnh...

Chiều tối nay bão số 11 Matmo cấp 12 vào vịnh Bắc Bộ, vùng núi nguy cơ cao lũ quét, sạt lở
Chuyên gia dự báo, chiều tối nay, bão số 11 Matmo đi vào vịnh Bắc Bộ với cường độ cấp 12, miền Bắc sẽ hứng...