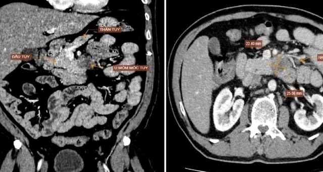
Đau bụng kéo dài, đi khám phát hiện ung thư giai đoạn cuối
Sống khỏe - 03/06/2025 08:57
Hai tháng đau bụng thượng vị, lan ra sau lưng, người đàn ông đi khám phát hiện ung thư tụy di căn gan, phổi, không...
Đau bụng nhưng e ngại dịch bệnh không đi khám
Khỏe - 23/08/2020 18:23
“Bệnh nhân bị hoại tử ruột non khoảng 30cm, viêm phúc mạc toàn thể. Tình trạng này rất dễ gây tử vong nếu không được...
Vị trí đau bụng cảnh báo bạn đang mắc nhiều bệnh nguy hiểm
Khỏe - 21/08/2019 09:49
Đau bụng dữ dội sau khi ăn chất béo là dấu hiệu tổn thương túi mật, đau vùng bụng dưới kèm buồn nôn, sốt, ớn...
17 học sinh Hà Nội đau bụng sau khi ăn bán trú: Lãnh đạo Phòng GD&ĐT nói gì?
Xã hội - 05/04/2019 10:16
Lãnh đạo Phòng GĐ&ĐT Thanh Xuân (Hà Nội) lên tiếng trước thông tin 17 học sinh tiểu học đau bụng sau bữa ăn bán trú.
Đi khám đau bụng, bất ngờ chuyển dạ ở phòng cấp cứu
Khỏe - 22/10/2017 15:41
Cô gái ở Thủ Đức vào trạm y tế khám do đau bụng, bác sĩ phát hiện cô chuyển dạ, đưa tới cửa phòng sinh...
 
	                    	                
	                Lũ sông Hương xuống sát báo động 3, hơn 44.500 ngôi nhà ở Huế bị ngập
Nước trên sông Hương và sông Bồ đang tiếp tục xuống nhưng còn ở mức ngưỡng báo động 3, TP Huế tiếp tục ngập lụt...
 
	                    	                
	                Vùng rốn lũ Đà Nẵng chìm trong biển nước, hàng nghìn hộ dân bị cô lập
Hơn 2.100 hộ dân với khoảng 4.300 nhân khẩu ở vùng rốn lũ của TP Đà Nẵng bị cô lập do lũ lên nhanh trong...
 
	                    	                
	                Tin lũ đặc biệt lớn trên các sông ở TP Huế, khả năng vượt đỉnh lịch sử năm 2020
Trung tâm Dự báo khí tượng thuỷ văn quốc gia vừa phát đi bản tin lũ đặc biệt lớn trên các sông ở TP Huế...
 
	                    	                
	                Thuỷ điện ở Huế xả lũ 1.800 m³/s, nhiều khu vực ở hạ du ngập sâu
Hai hồ thuỷ điện lớn ở Huế là Hương Điền và Bình Điện xả lũ lên tới 1.800 m³/s làm nước sông lên cao, nhiều...
 
	                    	                
	                Việt Nam - Hoa Kỳ ra Tuyên bố chung về Hiệp định thương mại đối ứng, công bằng và cân bằng
Việt Nam và Hoa Kỳ đồng ý công bố Tuyên bố chung Việt Nam và Hoa Kỳ về Khuôn khổ Hiệp định thương mại đối...
 
                     
                                                     
                                                     
                                                     
                                                    