Chuyên gia khuyến cáo giám sát chặt biến thể “Omicron tàng hình"
Khoa học - Công nghệ - 18/02/2022 20:49
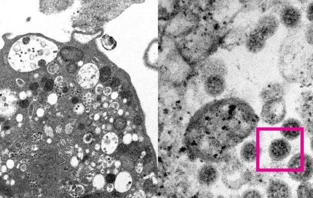
CNN ngày 18/2 dẫn nghiên cứu mới của chuyên gia Kei Sato (Nhật Bản) nêu rõ, không nên xem BA.2 là một nhánh của Omicron...
Chuyên gia: Biến thể phụ có thể tạo làn sóng lây nhiễm song song với Omicron
Khoa học - Công nghệ - 03/02/2022 16:20
Theo nhà khoa học Nam Phi, biến thể phụ được gọi là BA.2 đang lây lan nhanh chóng và có thể gây ra làn sóng...

Lũ trên sông ở Bắc Ninh đang lên, lũ sông Cầu tại Thái Nguyên vẫn vượt lịch sử
Trong khi mực nước nhiều sông đang hạ dần, các sông ở Bắc Ninh lại đang lên và sắp đạt đỉnh, lũ trên sông Cầu...

Lũ trên sông Cầu vượt đỉnh lịch sử hơn 1m, Thái Nguyên ngập đến cuối tuần
ũ trên sông Cầu đang lên, mực nước tại trạm Gia Bảy lúc 3h ngày 8/10 vượt đỉnh lịch sử năm 2024 trên 1m, ngập...

Đường phố ngập sâu, người Hà Nội bì bõm lội nước đi làm rồi bất lực quay về
Mưa lớn kéo dài từ đêm qua đến sáng nay làm nhiều tuyến phố Hà Nội ngập sâu, người dân vật vã đi làm rồi...

Mưa lớn cả đêm, người Hà Nội lại vật vã dắt xe qua biển nước
Mưa lớn từ đêm qua khiến nhiều tuyến đường Hà Nội sáng 7/10 ngập sâu gần nửa mét, người dân vất vả dắt xe qua...

Danh sách các tuyến đường ở Hà Nội có nguy cơ ngập lụt trong sáng nay
Sau trận mưa lớn kèm sấm sét, nhiều điểm ở nội thành Hà Nội được cảnh báo có nguy cơ ngập úng.